Translate this page into:
Are Biofibre® implants as safe as claimed?
*Corresponding author: Hudson Dutra Rezende, Department of Dermatology, Lusiada University Center, Santos, Brazil. contato@hudsondutra.com.br
-
Received: ,
Accepted: ,
How to cite this article: Dutra Rezende H, Leal TB, Dias MG, Kabbach KK. Are Biofibre® implants as safe as claimed? J Cutan Aesthet Surg. doi: 10.25259/JCAS_175_2025
Abstract
We report a case of a 45-year-old man who developed a persistent inflammatory scalp reaction 1 year after undergoing synthetic hair implantation (Biofibre®). Histopathology revealed a foreign body granulomatous response with neutrophilic abscesses and multinucleated giant cells surrounding filamentous exogenous material. Clinical improvement was partial after systemic and topical anti-inflammatory treatment, though low-grade inflammation persisted. This case highlights the potential for delayed immune reactions despite the use of modern synthetic fiber technologies and reinforces the need for histological assessment in post-implantation scalp lesions.
Keywords
Biofibre®
Foreign body granuloma
Histopathology
Scalp inflammation
Synthetic hair implantation
INTRODUCTION
Artificial hair implantation, initially popularized in the 1970s, was eventually discredited due to high complication rates, including infections, scarring, granulomatous reactions, and fiber rejection. Despite its temporary ban by regulatory agencies, modernized techniques such as the Biofibre® system have reintroduced synthetic hair as a therapeutic option, claiming greater biocompatibility and safety.1,2 However, recent case reports and pathological studies suggest that adverse reactions remain underrecognized and underreported.3-5
CASE REPORT
We report the case of a 45-year-old man with a history of two unsuccessful follicular unit excision procedures who opted for synthetic fiber implantation in 2021. The procedure involved three sequential sessions: 400 Biofibre® filaments were initially used, followed by 500 additional fibers 4 months later, and a final session of 900 fibers 6 months thereafter, totaling approximately 1,800 units. One year after the last session, the patient developed scalp pruritus and inflammatory papules restricted to the crown, the site of implantation.
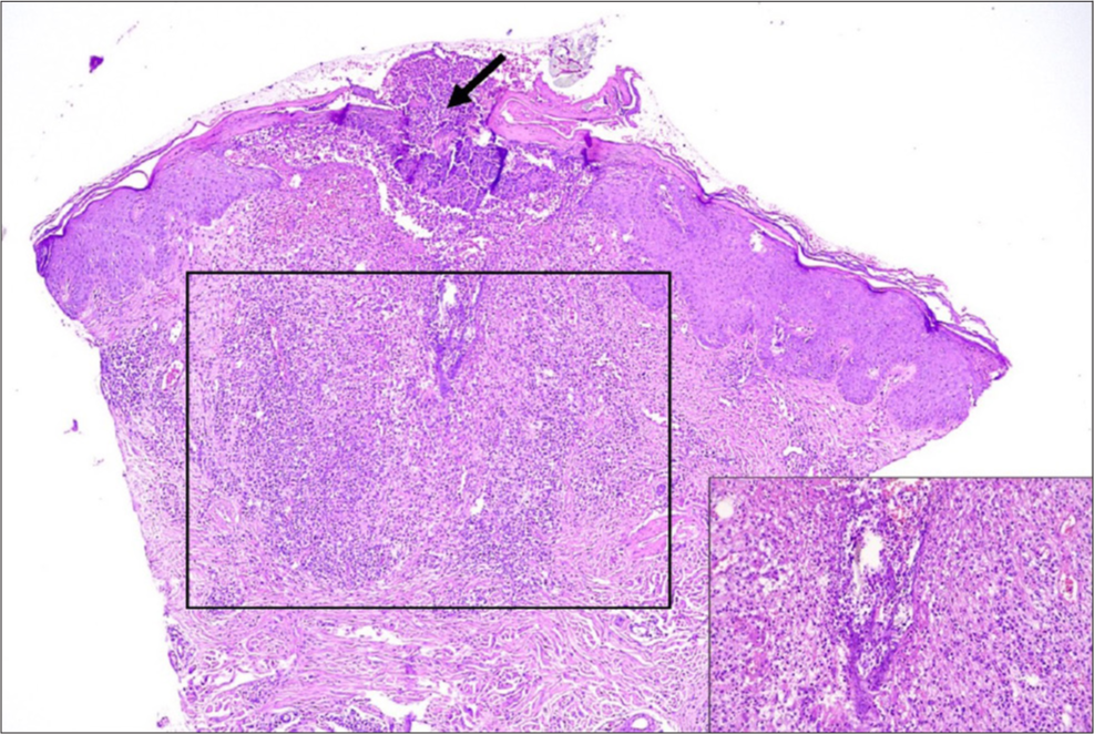
On examination, multiple erythematous follicular papules and pustules were observed in the crown region. Dermoscopy revealed damaged synthetic hair shafts with marked perifollicular inflammation [Figure 1a and b]. A 4-mm punch biopsy demonstrated epidermal acanthosis, neutrophilic exocytosis, and ulceration with a fibrin-leukocytic crust overlying follicular ostia. In the dermis, a dense inflammatory infiltrate was centered around filamentous exogenous material, accompanied by multinucleated giant cells and interstitial fibrosis, findings consistent with a foreign body granulomatous reaction [Figure 2]. No evidence of malignancy was identified.

- (a) Clinical presentation at the first visit showing erythema and crusting around the implanted shafts in the vertex region. (b) Dermoscopy reveals erythema and scaling surrounding implanted fibers, which appear fractured and damaged at multiple points (black arrows). The fine linear black structures in the background (circle) represent artifacts caused by the application of topical keratin fibers on the previous day (×70, FotoFinder system).

- Scalp biopsy showing acanthotic epidermis with neutrophilic exocytosis, foci of parakeratosis, and ulceration covered by a crust composed of fibrin and leukocytes, in continuity with the follicular ostium (arrow). The dermis exhibits a dense mixed inflammatory infiltrate, predominantly neutrophilic, consistent with an abscess surrounding exogenous particulate and filamentous material. Foreign body–type multinucleated giant cells and associated fibrosis are also observed. Inset: filamentous material amid the intense acute inflammatory reaction.
The patient showed clinical improvement after 2 months of treatment with oral sulfamethoxazole-trimethoprim (800 + 160 mg, every 12 h) combined with a topical shampoo formulation containing allantoin 2%, clobetasol 0.05%, and chlorhexidine 0.5%, applied once daily. However, mild inflammatory activity persists in the affected area, and removal of the synthetic fibers is currently being considered.
DISCUSSION
Our findings align with prior histopathological reports. Peluso et al.,3 examined scalp biopsies from five patients with severe post-implantation complications and found hyperplastic epidermal changes, acute inflammation, and granulomatous infiltrates surrounding the fibers. Similarly, our case demonstrates the persistent capacity of synthetic fibers to trigger intense immune responses, even decades after the technique was supposedly refined.
Although modern trials report improved safety – Lotti et al.1 noted only 8.75% of minor complications over 3 years in 278 patients – the lack of long-term data and absence of histopathological follow-up limit such conclusions. Moreover, Chiarelli et al.4 described a case of squamous cell carcinoma arising at the site of synthetic hair grafting, emphasizing the potential oncogenic risks in chronically inflamed implant areas.
Another relevant observation comes from Santiago et al.,2 who studied the use of synthetic fibers in cicatricial alopecia and reported a 20% annual fiber fall rate, with occasional adverse effects requiring removal. In our case, the persistent inflammation despite treatment raises concern over the long-term tolerability of the implants.
CONCLUSION
This report contributes to the growing body of literature suggesting that synthetic hair fibers, even with updated formulations and techniques, are not free from biologically significant reactions. Given the overlap with infectious, lichenoid, and neoplastic dermatoses, histopathological evaluation remains essential. Until comprehensive, long-term safety data become available, clinicians should be cautious when considering synthetic hair implantation.
Authors’ contribution:
Hudson Dutra Rezende: Conception and design of the study, acquisition and interpretation of data, drafting and critical revision of the manuscript. Thiago Bianco Leal: Clinical supervision, acquisition of clinical data, contribution to manuscript drafting, and critical revision. Maria Fernanda Gavazzoni Dias: Data analysis and interpretation, manuscript drafting, literature review, and critical revision for important intellectual content. Karla Kalaça Kabbach: Histopathological analysis, figure preparation, and critical revision of the manuscript.
Ethical approval:
Institutional Review Board has waived ethical approval for this study.
Declaration of patient consent:
The authors certify that they have obtained all appropriate patient consent.
Conflicts of interest:
There are no conflicts of interest.
Use of artificial intelligence (AI)-assisted technology for manuscript preparation:
The authors confirm that there was no use of artificial intelligence (AI)-assisted technology for assisting in the writing or editing of the manuscript and no images were manipulated using AI.
Financial support and sponsorship: Nil.
References
- Clinical updating study at 3 years on 278 patients treated by modern artificial hair implant technique (automatic biofibre®) Dermatol Ther. 2020;33:e13194.
- [CrossRef] [Google Scholar]
- Artificial hair fiber restoration in the treatment of scalp scars. Dermatol Surg. 2007;33:35-43.
- [CrossRef] [PubMed] [Google Scholar]
- Cutaneous complications of artificial hair implantation: A pathological study. Dermatology. 1992;184:129-32.
- [CrossRef] [PubMed] [Google Scholar]
- A case of squamous cell carcinoma of the scalp after several synthetic hair grafts. Aesthetic Plast Surg. 2012;36:649-52.
- [CrossRef] [PubMed] [Google Scholar]
- Artificial hair implantation: Safety concerns and patient selection. J Cosmet Dermatol. 2017;6:38-42.
- [Google Scholar]
